在福建医科大学附属第一医院里有这么一群白衣战士,他们平日不苟言笑,脚步匆忙,心里却时刻想着如何为病人解除病痛。他们的角色千变万化,时而变成“邻家大哥”,耐心地向患者及家属解释各种病情;时而变成“解毒圣手”,及时将患友的各种危机化险为夷;但更多时候,他们是一支“拆弹部队”,拆除各种“人体炸弹”!他们就是“拆弹专家”——李旭主任带领的附一胸外科团队!
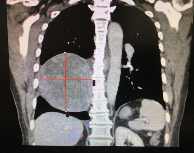
近日,我院胸外科主任李旭手术团队收治一名来自泉港区的患者陈阿姨。据陈阿姨述说,其平时在家务农,反复气促多年,因无其他特殊症状,以为是人到老年的正常现象。近段时间以来,陈阿姨的气促越发严重,在家属的催促下,她才到当地医院进行胸部CT检查。检查显示,陈阿姨右肺下叶巨大占位性病变,近十公分,当地医生考虑可能是恶性肿瘤。患者及家属大吃一惊,心中十分焦急,后悔没有早些在意。因当地医疗条件有限,医生建议往上级医院进一步检查治疗。陈阿姨一家回家后便四处求医,辗转打听到附一胸外科有位省内知名的“拆弹专家”,对此类巨型肿瘤很有经验,随即慕名前往福建医科大学附属第一医院找到胸外科李旭主任,寻求进一步手术方案。


患者CT影像 (标记处为肿瘤)
李旭主任仔细为患者查体,经过严密的病情分析后,考虑肿瘤巨大,侵犯心包和下肺组织,决定先行肺穿刺,排除其他恶性肿瘤。最终穿刺病理显示,陈阿姨患的是神经鞘瘤,这让李主任松了一口气:“还有手术的机会!”。
经过精心的术前准备,手术正式开始,麻醉—消毒—开胸探查……进入胸腔那一刻,一颗巨大的“炸弹”赫然出现在手术团队的视野中。术后邱明链副主任医师谈起这个手术,还心有余悸。他回忆道:“虽然预料到了肿瘤会很大,但没想到,肿瘤已经占据了整个胸腔,且侵犯右下肺叶,并与血管粘连,手术难度高,风险极大。手术时,虽然每一步的动作都经过精心设计,却仍是惊心动魄。”手术团队根据术中时时情况,当机立断决定将右下肺叶一起切除。在分离近脊柱位置的肿瘤时,患者出血瞬间达1000ml,团队反应迅速,压迫出血部位,输上之前备好的血,再次探查出血部位,最终经过一个半小时的“浴血”奋战,成功为患者切除了直径为11cm的右肺下叶及纵膈巨大肿瘤。患者于术后四天拔除胸腔闭式引流管,术后七天成功出院。


术后病理
出院时,陈阿姨紧握李旭主任的双手,感慨道:“您真是名副其实的‘拆弹’专家,我这回真的叫‘压在胸口那块巨石给放下了’,真的谢谢你!”
李主任谦虚一笑:“过奖了,我们只是做了一名外科医生应该做的,我们的工作就是保障你们的健康,同时也要感谢你们的信任,让我们没有后顾之忧,才能心无旁骛的进行挑战,阿姨你回家要好好休息。”温馨的一幕也感染了周围的患友。
胸外科 陈姚平、刘波