近日,我院多学科协作采用隧道内镜技术完成食管黏膜下异物探查取出在身体“流浪”多日的鱼刺。
两周来,房大姐因为一根鱼刺梗喉,每天都过得提心吊胆。到医院就诊时已是鱼刺刺入后的第3天,CT检查显示鱼刺已经嵌入食管壁。虽然耳鼻喉科医生及时进行了紧急处理,但因为鱼刺刺入时间已久又脆,只能取出外露的一小部分,其余部分断在食管壁内无法取出。10几天过去了,房大姐虽然没有吞咽不适的感觉,但因为食管会不断蠕动,食管的黏膜下层组织又很疏松,所以鱼刺很有可能不断“流浪”,想到这根鱼刺有可能刺破食管腔,引起严重的内脏损伤,全家寝食难安。可是,为一根小小的鱼刺做开胸大手术去取,房大姐一家又很难接受,焦灼不安中,房大姐决定来到我院求诊,希望能在消化内镜中心进行微创治疗。
此时已经过去2周,鱼刺刺入的部位已完全愈合,内镜下见到的食管黏膜已十分光滑,未留下任何蛛丝马迹。但鱼骨在体内停留的时间越长,导致消化道穿孔、大动脉破裂出血、难以控制的纵隔和胸腔感染、颈部脓肿致呼吸困难等严重并发症的机率越大,这不仅时刻威胁着患者的生命安全,也给患者带来巨大的心理负担。
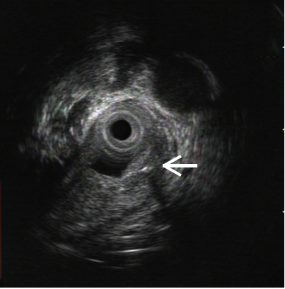
相对于食管腔而言,鱼刺太细,且可能不断移动。尽管有CT图像辅助,但仍无法直接帮助内镜定位,用内镜在黏膜下层寻找,无异于大海捞针。为此,耳鼻喉科、麻醉科、超声科、影像科和消化内镜中心的专家们组织了多学科讨论,决定采用气管插管麻醉,以内镜隧道技术联合术中超声内镜进行食管黏膜下切开探查。由于需要动用多种内镜设备,搬动到大手术室十分不便,麻醉科决定为内镜中心提供麻醉设备支持,在内镜中心完成气管插管,为手术提供更便利的条件。
但手术远比想像中更为困难,由于解剖结构的因素,内镜在高位食管建立黏膜下隧道本来就有很高难度,还要在狭窄的隧道内完成超声内镜检查,既不能发生食管穿孔,又要准确定位鱼刺,挑战十分严峻。内镜中心多位医生轮番上阵,在护理团队娴熟配合下,经过长达数小时的地毯式搜寻,终于发现鱼刺的踪迹。鉴于已发生过取出过程夹断鱼刺的情况,为保证鱼刺完整,在反复超声探查判断术中引发鱼刺穿破食管的可能性不大后,医生们采用了一种新办法:在鱼刺远端的食管黏膜再切开一道深度接近肌层的小切口,然后自鱼刺近端建好的黏膜下隧道再次进镜,终于将这根长约2.4cm的“流浪”鱼刺完整地从远端的切口里“推赶”了出去。
此次手术是我院首次采用隧道内镜技术完成食管黏膜下异物探查,取出鱼刺的操作在黏膜下层完成,除了近远端两个小切口,隧道表面的黏膜和底部的肌层均保持完整,术后房大姐恢复迅速,隔天就出院回家,恢复正常饮食后无任何不适,全家悬着的心终于落了地。这也是我院首次在消化内镜中心手术间完成气管插管全麻,数小时的手术过程麻醉深度适宜,患者生命征平稳;超声科全程在场提供超声技术支持,为手术的成功提供了有力保障。据文献检索,目前国内外尚无采用近远端双切口顺行推送取出食管黏膜下异物的报道。




消化内镜中心 王君玺