您的位置: 茶亭院区 > 大众版 > 新闻动态 > 新闻中心
我院多学科联合成功救治一名右位心合并心肌梗死患者
发布时间:2019-02-25 10:42    文章来源:    转载来源:    供稿部门:   作者:系统    摄影:
分享到:
我院多学科联合成功救治一名右位心合并心肌梗死患者

  1月19日清晨,一阵急促的警铃声在我院急诊科门口戛然而止,从120急救车送下来的病人并没有像往常一样被送进急诊科抢救室,而是直接送往介入手术室。据悉,3小时前,患者林先生突发胸口剧痛,大汗淋漓,伴濒死感且症状持续,不能缓解。经当地县医院急诊科查肌钙蛋白和心电图,诊断为急性ST段抬高型心肌梗死。该病是冠心病最危急、最严重的一种类型,死亡率极高。

  当地县医院立即通过胸痛中心急救系统向我院心内科发出求助。当日二线值班的副主任医师谢泓及住院总医师李爱娜了解情况后当即决定将患者转入我院,备行急诊经皮冠状动脉介入治疗(PCI)。而值急诊介入班的彭峰副主任医师和蔡瀚医师得知消息后也立即赶往待命。风驰电掣的120急救车一到达医院后,接诊医生立即将林先生送往介入手术室。不料,术中冠脉造影提示林先生为极其罕见的“右位心合并急性心肌梗死”,这无疑大大增加了手术的操作难度。凭借心内科介入组医护人员平日的训练有素和娴熟配合,很快就为林先生开通了“犯罪血管”——右冠状动脉,从进入医院大门至球囊打通血管的时间(D-to-B)仅仅60分钟(国际标准为<90分钟)。

  在开通“犯罪血管”后,林先生出现应激性溃疡,呕吐大量鲜血,被紧急送至心内科重症监护病房(CCU)抢救。消化内科郑玮玮医师为林先生在床边行急诊消化内镜并在内镜下止血,这才停止了呕血。同时,林先生还合并严重的肺部感染和心衰,经过呼吸内科陈公平主任医师多次精准调整抗生素和心内科重症医学团队的精细救治,术后第11天,患者肺部感染和心衰就得到了良好的控制,并于1月29日进行了第二次PCI治疗。距急诊手术后第13天,林先生病情稳定,顺利出院。

 我院多学科联合成功救治一名右位心合并心肌梗死患者 我院多学科联合成功救治一名右位心合并心肌梗死患者 
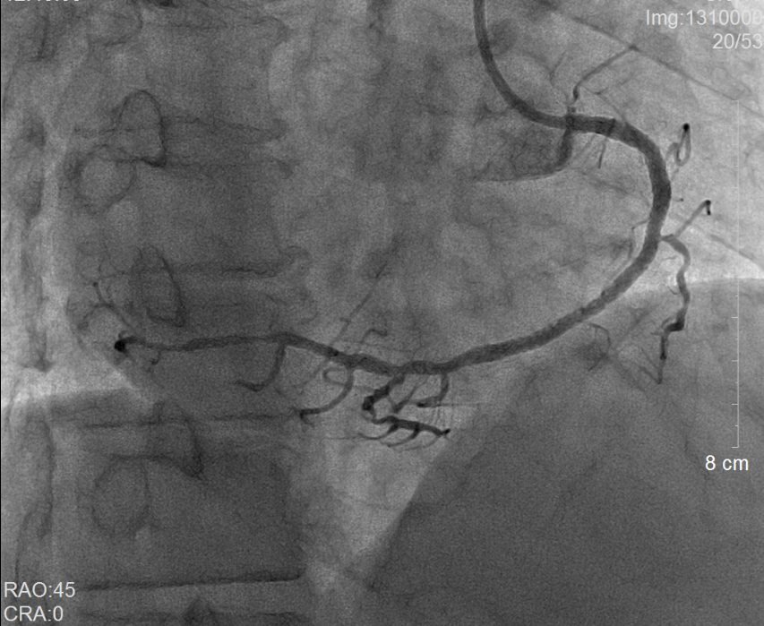
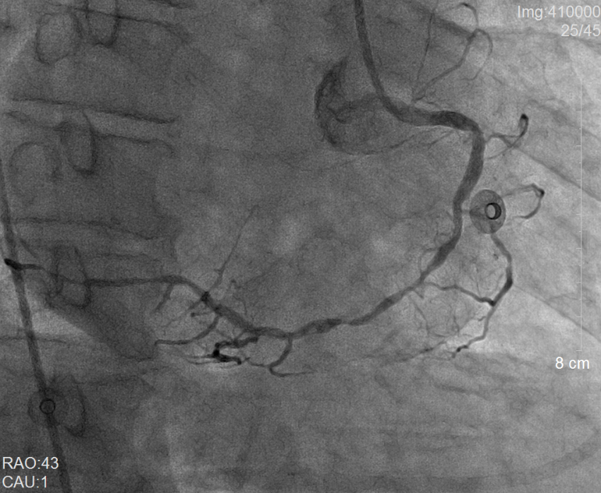
          术前冠脉造影提示右冠状动脉弥漫性病变                 术后冠脉造影提示右冠状动脉血流通畅

  彭峰介绍,镜像右位心是一种罕见的先天性心血管病,由胚胎发育过程中内脏旋转发生障碍造成。该例患者除了患有罕见的右位心,还合并了急性心肌梗死、消化道出血、肺部感染、心衰,病情复杂且危重。此次抢救,我院心内科、消化内科、呼吸内科等多学科迎难而上、团结紧密合作,先后进行急诊PCI,急诊床边胃镜等高危疑难手术与操作,充分体现了我院完善的急危重症救治体系,成熟的多学科救治能力和强大的综合实力。

胸痛中心介绍:

  我院胸痛中心为福州市第一家通过国家胸痛中心认证、第一家成为中国胸痛中心示范基地的专业机构。胸痛中心的建设是衡量我院建设高水平医院的重要标志之一。胸痛中心成立4年来,年PCI量达1000例,年急诊PCI量达200余例,常规可完成代表当今冠心病介入治疗领域最尖端的技术,如慢性完全闭塞性病变介入治疗、冠状动脉旋磨术、无保护左主干介入治疗等。

心血管内科  蔡瀚、柴大军