6月14日,国际神经科学领域顶级期刊“Neuron”(Cell杂志一级子刊,IF=14.024)以“Biallelicmutations in MYORG cause autosomal recessive primary familial braincalcification”为题,在线发表了我院陈万金团队的最新研究成果——发现原发性家族性脑钙化症(PFBC)首个隐性遗传致病基因MYORG。
本研究陈万金教授为通信作者,中科院神经科学研究所熊志奇研究员与我院神经内科带头人王柠教授为共同通信作者,我院姚香平医师、中科院神经所程学文副研究员以及福建医科大学博士生王冲、赵淼为共同第一作者。福建医科大学附属漳州市医院陈雪娇博士、山东大学齐鲁医院神经内科赵玉瑛博士、上海科技大学生命科学与技术学院范高峰团队、美国北岸大学健康学院徐剑锋团队共同参与了该项目研究。
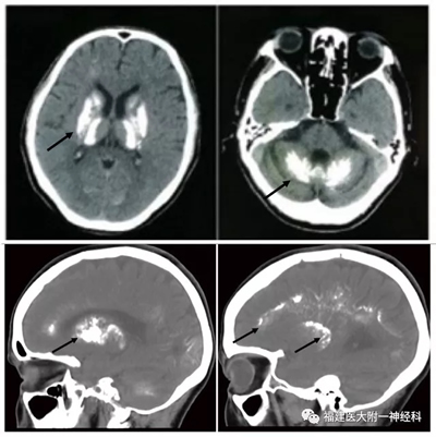
据介绍,PFBC是一种家族遗传性疾病,以双侧基底节、小脑或其它脑区病理性钙化沉积为特征,其临床症状主要包括进行性运动障碍、神经精神症状、构音障碍和认知障碍等,此病在老年人中发生率高达20%,由于其发病机制不清楚,临床上缺乏有效的治疗手段。虽然此前已探明了4个PFBC致病基因,但仍有50%以上的家族性患者的致病基因尚未明确。我院院神经内科与国内多家医疗单位合作,于近年收集了50余个PFBC家系,通过全外显子测序,在来自福建、山东、安徽、四川等地的6个隐性PFBC家系中,发现MYORG 基因突变,并进一步在基因敲除的小鼠脑内观察到了脑钙化结节的形成,通过扫描电镜结合X射线能谱仪分析,发现钙结节的主要成分为钙、磷,与临床病人脑钙化的元素组分高度相似。
据了解,此前发现的PFBC四个基因均为显性遗传,而该工作所发现的MYORG基因在PFBC中呈隐性遗传,在所有的PFBC家系中,MYORG突变比例达11%,为本病第二常见致病基因。有趣的是,MYORG突变在隐性家系中所占比例高达50%。在机制层面,之前研究认为脑钙化主要由周细胞及血脑屏障破坏所致,而本研究首次表明胶质细胞也是脑钙化发生的关键因素。本研究进一步丰富了PFBC致病基因谱,为其基因诊断奠定了基础,同时为其发病机制及治疗研究提供了新的线索。



携带MYORG基因突变6个家系图(A)及突变位点示意图(B)

MYORG基因在小鼠脑组织及细胞中的定位

MYORG基因敲除小鼠大脑内出现钙磷物质沉积
该研究论文的发表引起国内外众多媒体的广泛关注,《澎湃新闻》为此作了专题报道。
人物介绍:

陈万金,福建医科大学附属第一医院神经内科主任医师、教授、博士生导师,长期从事神经遗传病的临床及基础研究,曾获国家自然基金优秀青年基金资助,并入选教育部新世纪优秀人才支持计划。与吴志英教授、王柠教授以及熊志奇研究员合作,在国际上首次发现了发作性运动诱发性运动障碍的致病基因PRRT2,相关研究结果于2011年以第一作者在Nature Genetics杂志发表。