

5月9日上午,尚未拔除气管插管的患者王先生,坚持与前来查房的陈飞博士治疗团队成员一一握手,并双手竖起大拇指,为挽救其生命而努力拼搏的医护人员点赞。今天,可以说是王先生重获新生的日子。
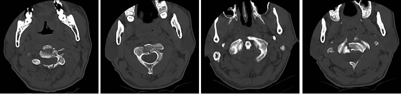
4月24日晚,48岁的王先生因外伤致头颈部疼痛1个多小时,于23点收入我院闽南医院神经外科。经检查,其被诊断为:1.右额、颞部硬膜外血肿;2.右额骨、右颞骨、右蝶骨骨折、右颧骨骨折;3.颈1、2、3骨折脱位,寰椎后弓大部先天缺失。在医护人员的积极治疗下,病人颅脑出血得到控制,于4月25日转入骨科继续治疗。
针对王先生的病情,骨科主任陈飞博士组织全科进行大讨论,认为病人系高位颈椎多发损伤,合并先天性寰椎后弓大部缺失畸形、寰枢椎半脱位,随时有全身瘫痪和死亡的危险,这类病人在省属三甲医院都并非常见。精心讨论后,治疗组决定先行颅骨牵引,进行颈椎复位,待全身情况稳定后行高位颈椎内固定融合术。



上颈椎的解剖结构非常复杂,周围有众多的主要神经、血管,手术操作时稍有不慎,就可能招致灾难性的后果,加上患者寰椎后弓的发育不全,造成延髓处骨性屏障缺失,以及显露、置钉时的解剖标志丧失,极大地增加了手术的难度以及风险。为保障安全,医院根据患者高精度CT三维扫描的原始数据,依托院外高新科技3D打印实验室,制作出1:1的上颈椎模型,真实还原了患者上颈椎骨折及畸形的情况。根据3D打印模型,骨科团队在陈飞博士的主持下进行多次的模拟手术,在毫米级别上,精确地定位了内固定物的置入点、明确了螺钉的方向、直径和长度,并对手术中可能出现的意外作了充分的估计和预演。





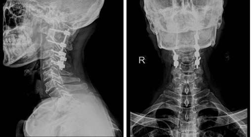
5月8日,决定治疗成败的关键一天到来了。因手术是经后路进行,需要神经外科的特殊头架固定,治疗团队特邀本部神经外科江常震副主任医师指导头架的使用及固定。手术由骨科陈飞博士主刀,历时约5小时,出血仅150ml,麻醉清醒后,病人四肢感觉、运动功能正常,生命体征平稳,表明未损伤颈髓和椎动脉。术后,患者颈部疼痛明显缓解,术后一天就拔除了气管插管,回到普通病房,并可以自行坐起。

福建医科大学附一闽南医院-泉州市泉港区医院医联体组建以来,随着附一院本部下派闽南医院学科主任的到位,大量只有省级三甲医院能开展的重大疑难手术在泉港区遍地开花,使得泉港及周边地区的患者省去了长途奔波之苦,在家门口就可以把大病、重病治好,实现了“大病不出泉港”,福建医科大学附属第一医院和泉港区人民政府联合办医效益逐步显现,真正成为泉港及周边地区百姓的福音。