食管癌是人类常见的恶性肿瘤,占食管肿瘤的90%以上,我国是世界发病率和死亡率最高的国家。早期食管癌临床症状主要为烧灼样、针刺样或牵拉摩擦样疼痛,尤其是进食粗糙、过热或有刺激性的食物时最为显著,此外,食物通过咽部缓慢并有轻度哽噎感。随着肿瘤增大,患者会出现进食时进行性吞咽困难、吞咽不适或异物感;

患者常表现为进食速度减慢并常需汤水送饭。数月后因肿瘤进一步增大并阻塞食管腔,患者只能进食流质,当肿瘤完全阻塞管腔时,病人表现为“滴水难通”。
郑老伯今年已81岁高龄,因“进行性吞咽困难1月余”就诊当地医院,诊断结果为晚期食管癌。由于年纪大不宜手术,郑老伯一年内行多次放化疗后仍出现食管肿物进行性增大,原来吃面食现在只能喝水,甚是痛苦。经打听,他们了解到福建医科大学附属第一医院介入科通过一种无创的食道支架植入术可以姑息性治疗晚期食管癌,遂转诊我院。在充分了解病情及完善相关检查后,我院介入科治疗团队为郑老伯进行了这种无创手术,手术很顺利,疗效显著。术后第二天医生告诉老伯可以继续吃面食了,郑老伯非常开心,其家属也相当满意,十分感谢我院陈一平、陈仲武两位专家及其团队。
陈一平、陈仲武副主任医师介绍说,食管癌的最大问题是因食道阻塞而患者无法进食,常规上会以肠或胃造瘘的方式解决患者营养或者排便的问题。但胃造瘘仍无法让患者经口进食,而食道支架,可用以撑开肿瘤阻塞的食道,满足患者经口进食的口欲,使患者的营养得到保障,此外,该手术具有疼痛轻、并发症少等优点,对患者也是巨大的心理安慰。食道支架植入术是晚期食管癌患者实现食道再通的一种有效治疗手段。

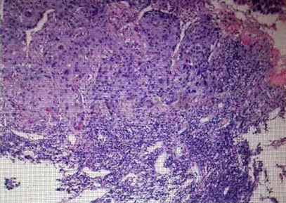
术前胃镜+病理发现食管癌(鳞状细胞癌)



温馨提示:
预防食管癌的有效方式:饮食上应禁食霉变食物,禁饮亚硝胺含量高的饮用水,多吃新鲜蔬菜,平时注意锻炼身体,如见身体消瘦、倦怠乏力等症状应早期检查,及时治疗。每年1-2次的食管脱落细胞学检查、食管拉网细胞学检查、内镜等普检检查是早期发现食管癌的有效方法。