近日,42岁的李女士因右上腹部偶有腹痛、腹胀就诊当地县医院,检查发现肝脏长了两个血管瘤,大小分别为7×5cm,5×4cm。经打听,他们了解到福建医科大学附属第一医院介入科通过一种微创的介入手术可以有效治疗肝血管瘤,随转诊我院。介入科医疗团队在充分了解李女士的病情后,为其完善了相关检查,并为其进行了肝血管瘤的微创介入手术,手术过程顺利,疗效显著。
接诊的陈仲武、陈一平副主任医师介绍说,肝血管瘤大多数属海绵状血管瘤,是肝内最常见的良性肿瘤,可发生于任何年龄,但常在成年人出现症状,女性为多。常无明显的自觉症状,但随着肿瘤的日趋增大,可出现腹胀、腹痛、恶心、呕吐、食欲缺乏、肝区胀痛等不适,严重者肿瘤破裂大出血而危及生命。以往遇到这种病人,一般会选择手术治疗,而精准微创介入手术较常规外科手术更为安全有效、并发症少、切口美容(切口仅0.3cm),而且住院费用少。患者术后8小时便可下床活动,术后1-3天便可出院。因此,近年来,肝血管瘤的微创介入手术受到广大年轻患者尤其是育龄期妇女的青睐。


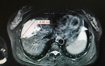
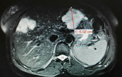
术前影像学发现右肝7×5cm的肝血管瘤 术前影像学发现左肝5×4cm的肝血管瘤


术前:DSA下右肝7×5cm的肝血管瘤成像 术前:DSA下左肝5×4cm的肝血管瘤成像


术中:DSA下肝左右叶血管瘤栓塞治疗后成像(见图标1、2) 半年后返院复查,肝左右叶血管瘤基本消失(见图标1、2)
温馨提示:
预防肝血管瘤的有效方式:解除忧虑、紧张情绪,避免情志内伤。饮食上应少食肥甘厚味及辛辣刺激之品,多吃新鲜蔬菜,不要喝酒,平时注意锻炼身体,如见腹内有积块、身体消瘦、倦怠乏力等症状应早期检查,及时治疗。每年1-2次的体检是早期发现肝血管瘤的有效方法。