6月24日,我院介入科林征宇主任、陈锦主治医师及其团队成功开展福建省首例3D打印导向模板引导下的放射性粒子植入手术。此患者为男性,40岁,肝癌术后1年余,发现左髂骨转癌半年,行外放疗+索拉非尼靶向治疗后肿瘤残留,症状表现为左髋部疼痛,站立及行走时明显,影响日常生活及睡眠。根据患者术前的CT图像,医疗团队在PROWESS TPS软件中确定肿瘤的大小、位置及与危及器官的毗邻关系,利用计算机模拟设计一个与体表完全吻合的模板,并在模板上设计出植入粒子的“针道”,按照瘤体照射剂量的TPS计划设计每个“针道”的深度、角度及植入粒子的数目,精心的术前准备使得术后结果与术前计划高度吻合,做到了更加便捷、精准、微创,使瘤体局部放射学剂量最优化。



3D打印模板引导下精准施术



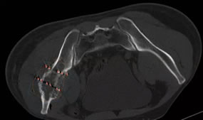
术前设计进针路线和粒子规划



术前设计进针路线和粒子规划 术后对比DVH放射剂量分布均匀