


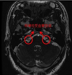
MRI上提示血管神经压迫 手术切口和骨窗开口图示 术中利用特氟龙棉垫解除神经血管压迫

近日,我院神经外科首次通过手术方法为一位难治性眩晕患者成功解除了困扰其多年的眩晕症状。
家住福州的郑先生饱受眩晕的折磨已有4年,据他回忆,早在10年前他左耳就出现持续性的耳鸣,尽管可以忍受,但左耳听力渐有下降;4年前出现了眩晕,发作严重时甚至难以站立,还伴随着恶心、呕吐等不适,严重影响他的工作和生活。郑先生多次就诊于神经内科、耳鼻喉科治疗,但未见明显好转。他也曾求诊于福建医科大学附一医院神经外科林元相教授,林教授建议其通过手术治疗解决眩晕的问题,但因手术的有创性,郑先生拒绝了手术治疗。尽管一直服用药物控制眩晕症状,但郑先生的眩晕愈演愈烈,半年前右耳也出现了耳鸣,最后思考再三,他再次找到了林元相教授要求手术治疗。
在附一医院神经外科,林元相教授及其团队为郑先生制订了详细的手术方案,并顺利为其施行了“右侧听神经微血管减压术”。术后,郑先生的眩晕未再发作。
林元相教授介绍说,难治性眩晕的病因有很多,其中有一部分患者是由于听神经受到了来自脑血管的压迫而引起,对于这部分患者,通过显微镜下施行微血管减压术,解除血管对神经的压迫,可解决对药物无效的眩晕症状。微血管减压术的开展在国际上已有多年的经验,技术已相当成熟。利用最新的“锁孔”技术,切口只有4cm左右,手术的创伤小于一般的颅脑手术,并发症的发生率也很低,但治疗难治性眩晕在国际上也才刚刚起步。尽管国外有文献报道对于难治性眩晕的有效率达到80%,但对于手术带来的创伤,大多数的眩晕患者仍表示难以接受,并且该项手术需要严格的诊断,需排除耳源性眩晕如耳石症等。
林教授回忆说,4年前郑先生就诊时,通过MRI核磁共振检查就发现了他的听神经和脑血管关系密切,当时国外已有学者尝试通过手术治疗顽固性眩晕的例子,但因患者的对于手术的顾虑,当时并没有选择手术治疗。如今4年后再次回想起当时的诊断,又证明了当时对于难治性眩晕手术治疗的预见性。尽管如此,经检索,省内开展微血管减压治疗顽固性眩晕仍尚属首例。
虽然微血管减压术治疗难治性眩晕取得了一定的效果,但在选择手术治疗时仍需十分谨慎。林教授说:“只有在内科药物治疗无效,有明确的神经耳科学检查发现一侧前庭功能明显减退,影像学检查有血管压迫并排除其它疾病,在取得患者及其家属同意后方可考虑。”